rejuvenecimiento facial

TELEFONO

321 466 2266

diseño de sonrisa en bogota diseño de sonrisa en chia

Una sonrisa renovada en una sola cita

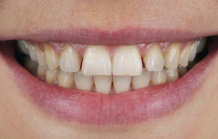
Las carillas en resina son una solución estética y conservadora que transforma tu sonrisa de forma rápida, segura y sin necesidad de laboratorio dental. Se aplican directamente sobre el diente en una sola sesión, mejorando la forma, el color y la alineación de tus dientes de manera inmediata y natural.

Este tratamiento es ideal para cerrar espacios, corregir desgastes, cubrir manchas o armonizar la sonrisa sin procedimientos invasivos. Gracias a su técnica de mínima intervención, el desgaste dental es nulo o casi inexistente, lo que preserva al máximo la estructura original del diente.

diseño de sonrisa en cota
carillas dentales en bogota

En solo 1 a 2 horas por diente puedes lograr una sonrisa más armónica, luminosa y funcional. Con los cuidados adecuados, sus resultados pueden durar de 3 a 5 años. Es la opción perfecta para quienes buscan un cambio visible, sin comprometer la salud de su sonrisa.

dra karen parra

Dra. Karen Parra

Soy la Dra. Karen Parra, especialista en Ortodoncia y Ortopedia Dentofacial. Mi pasión es ayudarte a lograr una sonrisa armónica y saludable que potencie tu confianza. Me mantengo en formación constante, integrando tecnología avanzada y tendencias globales para ofrecerte resultados de alto nivel, siempre con calidez y cercanía.